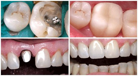
Зубные коронки напоминают колпачки, имитирующие размер и форму настоящих зубов, и используются для функциональной и наружной реставрации зубного ряда. Коронка полностью скрывает внешнюю часть зуба, расположенную выше и ниже черты десны. При установке коронки фиксируются с помощью цемента.
Показания для установки зубных коронок могут быть разные:
• предупреждение откола части слабого или разрушающегося зуба, в частности, поврежденного кариесом, или совмещения частей уже расколовшегося зуба
• в качестве реставрации уже травмированного, сломанного или значительно стертого зуба
• в качестве дополнительной защиты запломбированного зуба, собственной части которого почти не осталось
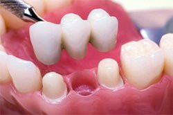
• в качестве поддержки мостовидного зубного протеза
• в качестве эстетической реконструкции (деформированных или изменивших цвет зубов)
для защиты импланта
В качестве материалов для зубных коронок используют металл, металлокерамику, керамику и фотокомпозитные материалы.
Цельнометаллические коронки могут быть выполнены из сплавов золота, палладия или сплавов никеля, хрома или других неблагородных материалов. При установке таких коронок происходит минимальное повреждение природной структуры зуба и практически не стирают противолежащие зубы. Металлические коронки отличаются выносливостью и прочностью, они хорошо справляются с жевательной нагрузкой и нагрузкой, возникающей при накусывании. Самый большой недостаток такого материала коронок – металлический цвет, который может подпортить внешний вид зубного ряда. Оптимальный вариант применения цельнометаллических коронок – установка на боковые зубы, которые не видно при разговоре и улыбке.
Сочетание металлической основы и керамического покрытия делает коронку более естественной по отношению к натуральному зубу, точно имитирует оттенок зубного ряда. Но в отдельных случаях, в частности при заболеваниях десен, металл может просвечивать сквозь покрытие, как темная линия, особенно ближе к линии десны. Такие коронки хорошо подойдут для восстановления передних и задних зубов.Наиболее дешевым материалом для изготовления коронок можно назвать пластмассу. Но такой вариант чреват износом, разрушениям и сколам, так что его лучше использовать только в качестве временной коронки.
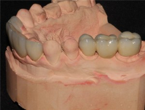
В зависимости от Ваших предпочтений и финансовых возможностей, мостовидные несъемные зубные протезы могут быть облицованы керамикой в различной степени. В любом случае, основой «моста» будет металл, но в остальном Вам следует обсудить возможные варианты и их соответствие состоянию здоровья полости рта с нашими специалистами.
Штифты устанавливаются в тех случаях, когда коронковая часть зуба разрушена наполовину и более.
Протезирование зубными штифтами предоставляет возможность восстановления всех функций сильно разрушенных зубов. Ежегодно во всем мире огромное количество человек, благодаря установке стоматологических штифтов, могут улучшить свое общее здоровье и вернуть вкус к жизни, внести разнообразие в свой рацион, снова добавив в него грубую пищу, свежие фрукты и овощи.
Штифты делятся на несколько видов: стекловолоконные, парапульпарные, анкерные, углеродоволокнистые, литые кутьевые вкладки.
Анкерные штифты делаются из сплавов золота, платины и палладия, сплавов титана, сплавов нержавеющей стали, латуни.
Металлические штифты могут быть пассивными и активными. Первые фиксируются исключительно посредством цемента, вторые, кроме него, имеют резьбу, и зуб как бы накручивается на штифт.
Когда были выяснены определенные недостатки распространенных в свое время пассивных и активных металлических штифтов, им на смену пришли стекловолоконные. Им не присущи коррозия, слабое сцепление материала с дентином и цементом, трудности с удалением из канала и улучшены эстетические характеристики.
Такой вид штифтов создается из горизонтально вдоль оси расположенных и погруженных по специальной заводской методике в пластмассовую эпоксидную матрицу, которая, в свое время, составляет 36,6 процентов от общей массы штифта. Волокна же занимают оставшиеся 63,4 процента массы и являют собой каркас протеза. Волокна цельные и имеют постоянное напряжение, благодаря чему нагрузки распределяются равномерно между твердыми тканями зуба. Стекловолоконные штифты прозрачны и не портят эстетического вида, поэтому хорошо подходят протезирования передних (фронтальных) зубов.
Еще одним из наиболее современных разновидностей неметаллических штифтов являются углеродоволокнистые. Окончательные реставрации, осуществленные с помощью таких штифтов, отличаются максимальной прочностью, благодаря их структуре. Углеродное волокно по эластичности близко к дентину. Если Вы выберете этот вариант стоматологических штифтов, можете рассчитывать на наиболее естественные ощущения впоследствии. Квалифицированный специалист может создать объединение из корневого канала, культи и штифта. Структура такого комплекса гарантирует равномерное распределение напряжения и силовой нагрузки на канал. Укреплять условно оздоровленные зубы лучше всего именно посредством углеродоволокнистых штифтов, которые помогут избежать возможности перелома корня.
Стержневые конструкции, изготовленные из золота, титана, нержавеющей стали и их сочетания с полимерным покрытием называются парапульпарными штифтами. Они используются в качестве укрепляющей конструкции и ретенции пломб и ставятся за пределами полости зуба в твердых тканях. Для восстановления и укрепления коронковой части используется довольно ограниченно из-за близкого расположения зараженной кариесом области, и главным применением парапульпарных штифтов можно назвать дополнительную ретенцию установленного постоянного реставрационного материала.
Микропротезирование зубов, коронковая часть которых сильно разрушена и недостаточна для установки полноценной исскуственной коронки, осуществляется с помощью культевых вкладок. Специалист самостоятельно формирует канал, под который и создается штифт металла, циркониевой керамики или особого стекловолокна. Культевая вкладка преимущественно создается в лабораторных условиях и служит для равномерного распределения нагрузки и давления при жевании.
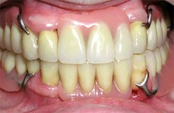
Усовершенствованные пластмассы, слепочные массы, гарнитуры зубов. Внешний вид имитации неба сегодня может быть не просто естественно-розового цвета, но и даже включать в себя вполне реалистичные капилляры и сосуды. Сами зубы лучше выбирать импортного происхождения, коих в нашей стране достаточно большой выбор (отечественное производство пока проигрывает с эстетической стороны). Что касается ухода, то бабушкины методы класть протез на ночь в стакан с водой теперь совсем необязательны. Если Вы потеряли не все зубы, и в наличии остались здоровая и крепкая опора, современная стоматологическая практика предлагает изготовление специальных крючков-кламмеров, способных крепко защелкнуть протез. Такой вид пластиночного протеза, совмещенного с удерживающими бюгельными креплениями очень удобен в использовании.
bjugelnye_zubnye_protezy
Бюгельные протезы существенно отличаются от, привычных, пластиночных. Единственным сходством таких протезов можно назвать возможность самостоятельного съема. Они не закрывают полностью челюсть, благодаря основе из ажурного металлического литья, а возможность крепления с помощью опорно-удерживающих кламмеров позволяет избежать спадания. Крючки надежно сцепляются с прочными настоящими зубами пациента или надеваются на бюгельные коронки. Такой тип протезов более комфортен и надежен, вызывает минимум дискомфорта.
Минусом стандартных бюгельных протезов можно назвать обязательность опорных зубов, которые и держат конструкцию. Благодаря повышенной нагрузке на них, пациент избегает необходимости удерживания во рту массивной пластиковой базы пластиночного протеза.
Прогресс настолько усовершенствовал бюгельные стоматологические протезы, что теперь даже самый наблюдательный Ваш знакомый наверняка не распознает креплений. Новые, замковые креплении, которые, конечно, сложны в исполнении и весьма дорогостоящи, позволяют забыть об очевидных металлических крючках. Такие крепления прочны, надежны и н byugelnoe_protezirovanie_0езаметны, и Ваш вид с ними будет вполне естественным.